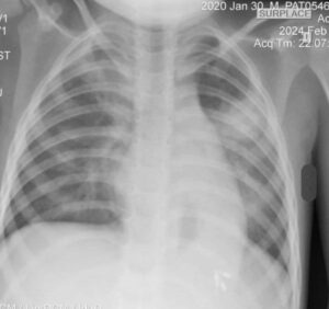
មន្ទីរពេទ្យគន្ធបុប្ផា បានប្រកាសពីជោគជ័យក្នុងការជួយសង្រ្គោះជីវិត កុមារអាយុ៤ឆ្នាំម្នាក់មកពីខេត្តកំពង់ឆ្នាំង បន្ទាប់ពីធ្វើការសង្រ្គោះបន្ទាន់ដោយជំនួយស្នប់ដង្ហើម និងឆ្លុះក្រពះឃាត់ឈាមព្រមជាមួយនិងការបញ្ចូលឈាម ១៥ប្លោក និងចម្រោះប្លាកែតអស់ ៤ ប្លោក។
មុនមកដល់មន្ទីរពេទ្យគន្ធបុប្ផាភ្នំពេញ, កុមារដែលមានជំងឺរលាកសួត និងដំបៅក្រពះរូបនេះ បានបាត់បង់ឈាមរហូតដល់ ៦០%ទៅហើយដោយអាការៈក្អួត និង ហូរឈាមតាមទ្វារបាត។
បន្ទាប់ពីថែទាំ និងព្យាបាលរយៈពេល២៣ថ្ងៃ យ៉ាងយកចិត្តទុកដាក់ដោយក្រុមគ្រូពេទ្យជំនាញនៃមន្ទីរពេទ្យគន្ធបុប្ផាភ្នំពេញ រួចមក, បច្ចុប្បន្នកុមាររូបនេះបានជាសះស្បើយ និងត្រលប់ទៅផ្ទះវិញជាមួយស្នាមញញឹមយ៉ាងរីករាយ។ មូលនិធិគន្ធបុប្ផាកម្ពុជា សូមថ្លែងអំណរគុណចំពោះសប្បុរសជនទាំងអស់ដែលតែងតែបរិច្ចាគថវិកា ដើម្បីរួមគ្នាសង្រ្គោះជីវិតទារក កុមារ ដែលជាអនាគតដ៏ភ្លឺស្វាងរបស់កម្ពុជា។






